Što je artrodeza

Što je artrodeza

Što je artrodeza i kada se ona izvodi?

Artrodeza se može opisati kao namjerno ukrućenje određenog zgloba u tijelu. Navedeni postupak se najčešće izvodi kada je nastupila napredna artroza koja je uništila zglobne površine. Uništavanje zglobne površine donosi simptome nestabilnosti i neprestane boli. Cilj artrodeze je ublažiti nastalu bol i isto tako omogućiti osobi otpornost na nju. Kada se izvodi artrodeza? Kada je došlo do uznapredovalog artritisa u malim zglobovima (prsti, šake, nožni prsti, gležanj), kada nastaje kronična nestabilnost u zglobu usred paralize mišića, kada je nastalo uništenje zgloba radi reumatoidnog artritisa.

Važno ja naglasiti kako se navedeni proces rijetko izvodi na većim zglobovima. Ovaj kirurški zahvati ima za cilj očuvati i vratiti funkciju zgloba određenom pacijentu, no u većini slučajeva terapija je ukočenje. Nakon što je zahvat napravljen, osoba može unutar par mjeseci do godinu dana čekati spajanje između dviju kosti kako između njih više ne bi bilo mjesta i slobodnog pokreta. Uspjeh navedenog zahvata će ovisiti od osobe do osobe, kao i stanju zgloba. Važno je držati se uputa s strane liječnika nakon zahvata.

Zašto se radi artrodeza?

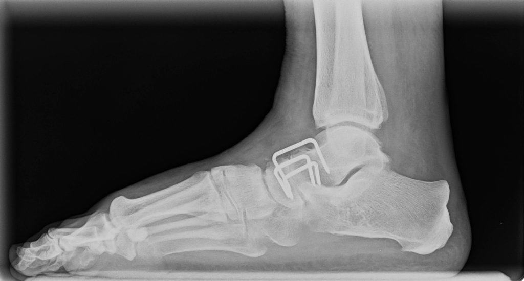
Navedeni zahvat će se najčešće izvoditi iz sljedećih razloga: Kako bi se osobi otklonila bol u zglobu koja ne prestaje, kada je došlo do promjene zgloba i kad on više ne može vršiti svoju funkciju, kada je došlo do slabosti mišića iako je zglob zdrav, kada je došlo do neuspješne artroplastike. Kako se vrši artrodeza? Otklanja se koža, potkožno i masno tkivo, te se otvara zglob uz pomoć rezanja zglobne kapsule. Kirurg će zatim koristiti glodalicu kako bi otklonio svu zglobnu hrskavicu i po potrebi dijelove kosti kako bi čvrsto povezao kosti koje tvore zglob.

Za navedeni postupak se najčešće koriste vijci, metalne ploče, koštani čipovi. Kada su kosti čvrsto povezane, kirurg će zašiti zglobnu kapsulu, potkožno tkivo i kožu. Da li artrodeza donosi rizike? Da. Pacijent može doživjeti stvaranje lažnog zgloba, osjetiti kroničnu bol, imati ograničeno kretanje, senzorne poremećaje, skraćivanje zgloba. Nadalje, mogući su i sljedeći operativni rizici: Ozljeda živca, krvarenje, nastanak modrica, ozljeda okolnog mišića ili tetiva, infekcije, ožiljci, alergijske reakcije.

Artrodeza oporavak

Što je potrebno uzeti u obzir nakon artrodeze? Nakon operacije, bol i oteknuće će biti normalno. Liječnik će u većini slučajeva prepisati analgetski lijek koji se može uzimati ukoliko bol postane nepodnošljiva. Šavovi će se povući nakon dvanaestog dana, a do tada je potrebno paziti na ranu i čistiti ju. Što je sa naprezanjem? Nakon što je artrodeza napravljena, trebali bi štedjeti dio tijela gdje je napravljen zahvat. Potpuni oporavak može trajati od 3 do 4 mjeseca, ovisno o mjestu. Dok operirana kost nije u potpunosti zacijelila, nude se opcije stabilizatora, posebno prilagođenih utora ili nošenje gipsa.

Artrodeza je najbolja opcija ukoliko osoba osjeti neprestanu bol i ukočenost u zglobu koja je nastala radi određenog stanja. Prije nego se izvede navedeni zahvat, osoba će morati proći određeni pregled i morat će se utvrditi dijagnoza. U većini slučajeva navedeni zahvat je uspješan i osoba može u potpunosti i bez boli opet koristiti određeni zglob.


Tagovi: