Rahitis, dječja bolest kostiju – uzrok, simptomi i liječenje

Rahitis, dječja bolest kostiju - uzrok, simptomi i liječenje

Što je Rahitis?

Rahitis se opisuje kao dječja bolest kostiju. Ovaj naziv zapravo obuhvaća skupinu bolesti koje nastaju radi poremećaja mineralizacije, točnije ulaganja kalcija u hrskavičnu tvar kostiju koje su još u fazi rasta. Rahitis je tako poremećaj koji imaju samo djeca koja još rastu. Navedeno ime se također koristi i kod opisa sličnih poremećaja gdje postoji problem s mineralizacijom, ili kada kosti gube na svojoj gustoći i kao takve postaju sklone čestim prijelomima i raznim deformacijama.

Kako bi mineralizacija u tijelu bila normalna u njemu je potrebna prisutnost kalcija i fosfata. Kada se pojavi znatno smanjenje količine jednog ili drugog elementa tada nastaje navedena bolest. Ipak, glavni razlog navedene bolesti je svakako nedostatak vitamina D u tijelu. Navedena bolest danas nije česta, ona je gotovo rijetka pojava u razvijenim zemljama svijeta. Tko spada u rizičnu skupinu?

Pojavi Rahitisa su sklonija djeca majki koje za vrijeme svoje trudnoće nisu konzumirale dovoljno vitamina D, djeca koja imaju vrlo tamnu kožu jer im treba više vremena za proizvodnju vitamina D, djeca koja ne izlažu svoju kožu suncu i koja provode puno vremena u zatvorenom prostoru, djeca koja imaju problema s bolestima jetre i bubrega, djeca koja konzumiraju lijekove koji smanjuju zalihe kalcija ili fosfata u tijelu. Važno je za naglasiti kako nemaju sva djeca s niskom razinom D vitamina navedenu bolest.

Rahitis simptomi kod djece i odraslih

Rani simptomi rahitisa se manifestiraju u obliku umora, bljedoće, česte razdražljivosti. Simptomi se mogu uočiti već oko 3 mjeseca života, a najviše se očituju nakon 6 mjeseci do 3 godine života. Prvo možemo primijetiti mekše kosti lubanje kod dojenčadi, dok je kasniji vodeći simptom tzv. "Rahitična krunica" koja su koštana zadebljanja na rebrima djeteta.

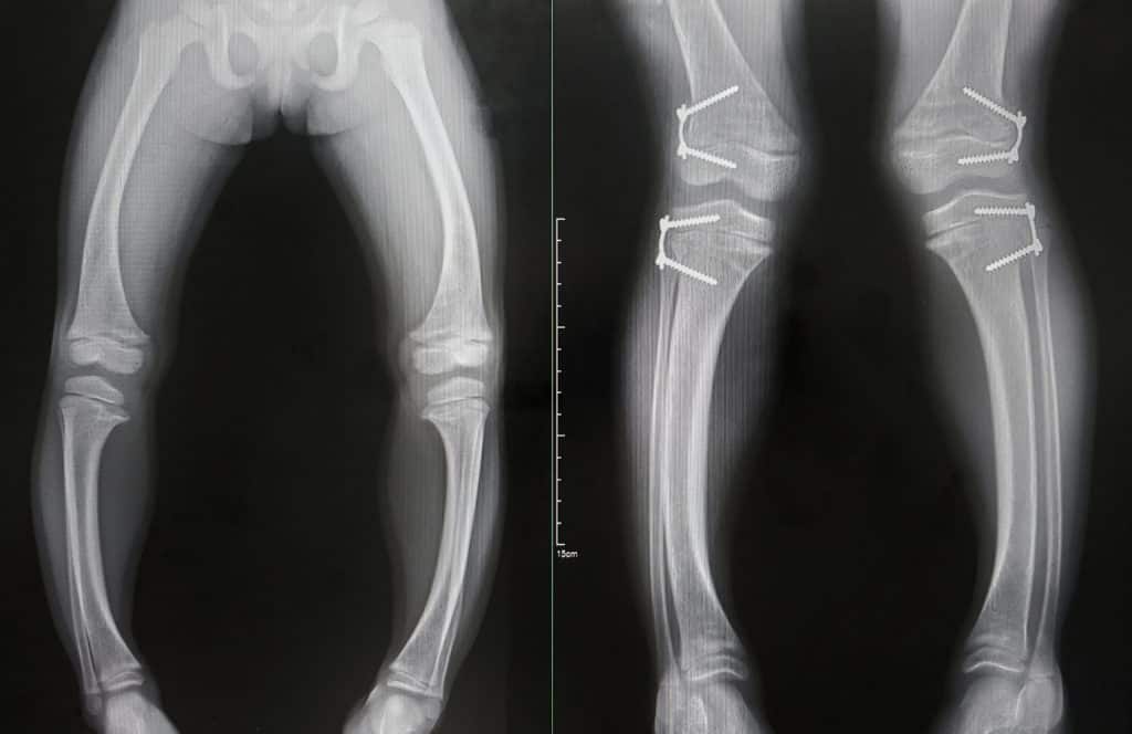
Kod rasta i razvoja navedena bolest se često manifestira i u iskrivljenim nogama koje idu u oblik "X" ili "O", drugim koštanim deformacijama u područjima ključne kosti, lubanje, čela, leđima, zubima. Djeca će tako biti nižeg rasta i imati mišićnu slabost. Kosti će biti sklone lomovima a mišići će biti više mlohavi. Rahitis kod odraslih ili osteomalacija je gubljenje čvrstoće kostiju u odrasloj dobi. Navedeno stanje dolazi kada dolazi do poremećaja mineralizacije u kostima nakon što su one narasle.

Do poremećaja osteomalacije mogu dovesti: Naslijeđeni kao i stečeni poremećaj u metabolizmu, intolerancija na laktozu, zatajenje kao i bolesti bubrega, bolesti probavnog sustava, višak kiseline u tjelesnim tekućinama, manjak fosfata u organizmu, nuspojave raznih lijekova koji se koriste u liječenju napada. Kod odraslih ostali simptomi uključuju:

Bolove u kostima i to osobito u području kukova, nagli bolovi kod prijeloma kralješka, slabljenje mišića, trnci i grčevi u rukama i nogama, krhke kao i savitljive kosti. Zbog mekoće kostiju susrećemo se s deformitetima koji se pojavljuju na potkoljenicama, natkoljenicama i na kralježnici. Rahitis se može razviti u ranoj i kasnijoj dobi.

Rahitis prevencija i liječenje

Rahitis možemo spriječiti svakodnevnim izlaganjem sunčevoj svjetlosti i unosom hrane koja je bogata vitaminom D. U ranoj dobi poželjno je krenuti sa što većom konzumacijom ribe poput lososa ili tune, mlijeka, jaja, sira, povrća poput kupusa i špinata, jetra životinja, gljiva. Potrebno je obratiti i pozornost na dovoljan unos kalcija i fosfata, oni se uglavnom nalaze u mliječnim proizvodima.

Sama dijagnoza za Rahitis se može utvrditi putem pretrage krvi i RTG pretrage koje će pokazati promjene kostiju. Liječenje rahitične djece će se odvijati dovoljnim unosom vitamina D, fosfora i kalcija. Tijekom trajanja terapije redovito će se provjeravati razine minerala i vitamina u krvi. Kod liječenja odraslih također se provodi gore navedeni plan i tretman.

Kod pravilnog tretmana brzo se uočavaju pozitivne promjene, već nakon nekoliko tjedana dolazi do jačanja, no tek za 6 mjeseci oporavak postaje potpun. Da li navedena bolest ostavlja posljedice? Koštane ili skeletne deformacije se mogu poboljšati i nestati u potpunosti ukoliko se na vrijeme tretiraju. Međutim, ukoliko ne reagiramo na vrijeme deformacije i promjene mogu postati trajne.

Zbog svega navedenog mnogi liječnici će savjetovati roditeljima da od malena djeci daju dodatne doze vitamina D, kao i hranu koja je bogata navedenim vitaminom. Isto tako liječnici će i odraslim osobama preporučiti dodatke s vitaminom D i redovito izlaganje sunčevoj svjetlosti. Danas postoje brojni suplementi kao i vitamini koje možemo unositi u svoje tijelo i tako spriječiti navedenu pojavu.


Tagovi: