Što je kolestaza

Kolestaza je smanjenje ili zastoj normalnog protoka žuči
Ako vam se pojavi tamna boja urina, žutica i svijetla stolica, a ako se još pojavi i svrbež, možda imate neki veći problem nego što mislite. Kolestaza je smanjenje ili zastoj normalnog protoka žuči, a može biti uzrokovan promjenama u jetri ili izvan jetre. U jetri uzroci mogu biti hepatitis, alkoholna ciroza jetre, bilijarne ciroze jetre, hormonskih promjena u trudnoći koje dovodi do trudničke kolestaze i može ugroziti život djeteta, a mogu biti krive i nuspojave nekih lijekova.
Kolestaza može biti odraz zasebnog autoimunog zbivanja u tijelu, a izvan jetre može ukazivati na upalu žuči i žučnih kanala, ili samo suženje žučnog kanala, žučne kamence, upalu gušterače ili čak i rak gušterače. Urin je tamne boje zbog povećanog bilirubina u mokraći, a iz istih razloga se javlja i svrbež po koži. Problemi sa stolicom nastaju zbog manjka žuči koja treba razgraditi masti čini stolicu masnom, a ni kalcij i vitamin D se ne apsorbiraju dobro.
Kolestaza se precizno mora dijagnosticirati
Upravo zato što se žuč proizvodi u jetri, a skladišti u žučnom mjehuru treba utvrditi točno mjesto gdje problem nastaje. Kolestaza se precizno mora dijagnosticirati kako bi se moglo započeti adekvatno liječenje. Pretrage krvi i urina, nalaz bilirubina, jetrene probe to je tek početak pretraga, naime, povišeni bilirubin može ukazivati na kolestazu, ali liječnik još uvijek ne zna gdje problem započinje. Visoka razina enzima koji se naziva alkalna fosfataza također ukazuje na kolestazu, ali to vas vodi na CT abdomena.
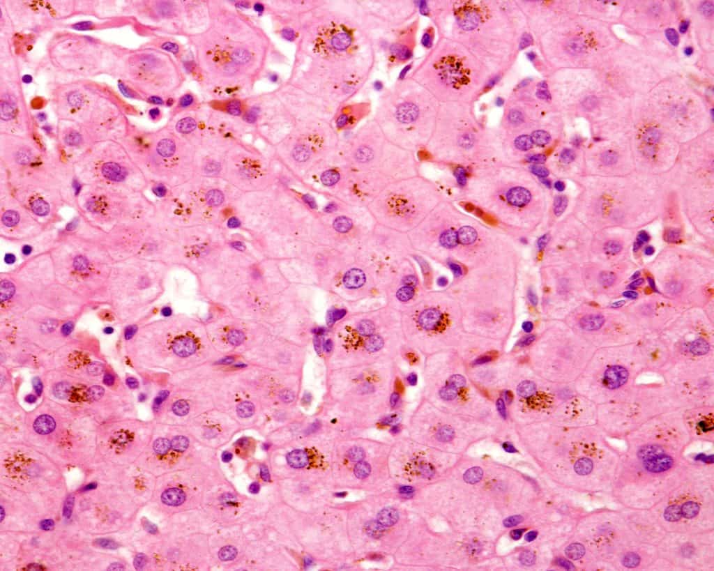
Ako se nakon nalaza CT-a sumnja da je kolestaza u jetri, radi se biopsija jetre da bi se ta sumnja potvrdila ili eliminirala. Dalje se rade pretrage žučnih vodova koje se zovu kolangiografija. Endoskopska retrogradna kolangiopankreatografija (ERCP) je i dijagnostički postupak za pregled žučnih kamenaca u donjim žučnim vodovima, ali se tom metodom ti kamenci mogu i razbijati i svrhu razbijanja i lakšeg izvlačenja tih nakupljenih kamenja, ostala liječenja ovise o mjestu nastanka.
Kolestaza se liječi prema mjestu i uzroku nastanka
Znamo da se blokada rada žuči i čučni kamenci u pravilu rješavaju kirurškim putem, no kako se kolestaza liječi prema mjestu i uzroku nastanka, ako je mjesto jetra, uzroci mogu biti različiti pa i terapijski pristupi. Ako je uzrok neki lijek, taj lijek treba odmah prestati uzimati, ako je uzrok hepatitis, treba ga liječiti i čim prestane prestat će i simptomi kolestaze. Svrbež se liječi usodioksikolnom kiselinom koja se naziva kolestiramin i uzima se oralno.
Kolestaza može biti socijalno neugodna ako se stalno češete, za lokalnu primjenu možete zamoliti kortikosteroide u kremi, gelu ili losionu. Ako vam je stolica stalno masna, liječnik vam može propisati trigliceride, preporuka vitamina K (ako jetra nije jako oštećena), kalcija i vitamina D koji također pomažu. Ako imate žučne probleme, morate smanjiti unos masti u prehrani. Najbolje je zatražiti preporuku za žučnu dijetu i držati je se, osim ako ste trudni, tada će specijalisti pratiti tijek trudnoće.
Tagovi: